Event Details
Join us for a three-day CODA & Vertical Interface Masterclass
Architecting Aesthetic Stability from Design to Tissue Control with Dr John Yu-Cheng Chu
The CODA & Vertical Interface Masterclass is a three-day advanced programme designed for clinicians seeking greater control over aesthetic architecture and long-term soft tissue stability.
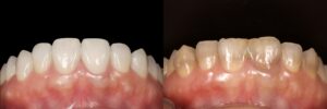
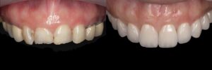
This masterclass integrates anatomically driven smile design with vertical soft tissue augmentation. Participants will explore CODA (Cosmeticus Odontologica Dissignatio Anatomica) — a structured framework for aesthetic planning within biological limits — alongside VIBE (Vertical Incision Bilaminar Elevation) and MPT (Modified Platform Technique), advanced protocols for predictable papilla augmentation and soft tissue volume enhancement.


The programme centres on transforming compromised tissue conditions into stable biological support, enabling the transition from TU (Tissue Under-support) to TN (Tissue with Normal support).
Designed for experienced clinicians, this course presents a coherent clinical pathway from structural design to soft tissue stability in complex aesthetic cases.


A Unique Integration
In most international events, CODA and VERTICAL are delivered as separate programmes. Cities such as Amsterdam, Brussels and Vilnius have hosted CODA as a standalone structural framework course, while Lisbon, Seoul and London selected VERTICAL as a dedicated microsurgical soft tissue programme. Even in Vilnius, the two systems were delivered independently across separate visits.
It is uncommon for both disciplines to be combined into a single event.
For Sydney 2026, at A/Prof Christopher Ho’s request and in the spirit of collaboration, Dr Chu has agreed to integrate CODA and VERTICAL into one comprehensive three-day masterclass. This makes the Sydney edition particularly distinctive — offering a complete and integrated pathway from structural aesthetic design to soft tissue stability.
Dates: 28–30 July 2026
Location: Australasian College of Dental Practitioners
Level 1, 60 Archer Street, Chatswood NSW 2067

Outline:
Day 1 – CODA: Anatomical Smile Architecture
Morning:
- Introduction to CODA (Cosmeticus Odontologica Dissignatio Anatomica)
- Smile design within anatomical limitations
- Tooth morphology, proportion, and spatial control
- Gingival architecture and structural boundaries
Afternoon:
- Pink–white integration strategy
- Case analysis: design to execution
- From digital planning to biological feasibility
- Clinical decision-making framework
Day 2 – Vertical Soft Tissue Augmentation (VIBE / MPT)
Morning:
- Biological rationale for vertical tissue enhancement
- VIBE (Vertical Incision Bilaminar Elevation): principles and indications
- Case selection and limitations
Afternoon:
- MPT (Modified Platform Technique)
- Managing tissue thickness and contour stability
- TU → TN transition (Tissue Under-support to Normal support)
- Risk control and complication prevention
Day 3 – Integration: Design to Tissue Stability
Morning:
- Linking morphology and tissue volume
- Sequencing: design → augmentation → restoration
- Restorative–periodontal interface control
Afternoon:
- Advanced case presentations
- Long-term stability analysis
- Clinical problem-solving and discussion
- Q&A

Cancellation Policy:
A minimum of one month’s notice is required for cancellations. Transfer requests must be submitted in writing to education@theacdp.com
Chatswood, NSW 2067 Australia
Details
Organizer
Related Events



Join us for a three-day CODA & Vertical Interface Masterclass
Architecting Aesthetic Stability from Design to Tissue Control with Dr John Yu-Cheng Chu
The CODA & Vertical Interface Masterclass is a three-day advanced programme designed for clinicians seeking greater control over aesthetic architecture and long-term soft tissue stability.
This masterclass integrates anatomically driven smile design with vertical soft tissue augmentation. Participants will explore CODA (Cosmeticus Odontologica Dissignatio Anatomica) — a structured framework for aesthetic planning within biological limits — alongside VIBE (Vertical Incision Bilaminar Elevation) and MPT (Modified Platform Technique), advanced protocols for predictable papilla augmentation and soft tissue volume enhancement.


The programme centres on transforming compromised tissue conditions into stable biological support, enabling the transition from TU (Tissue Under-support) to TN (Tissue with Normal support).
Designed for experienced clinicians, this course presents a coherent clinical pathway from structural design to soft tissue stability in complex aesthetic cases.


A Unique Integration
In most international events, CODA and VERTICAL are delivered as separate programmes. Cities such as Amsterdam, Brussels and Vilnius have hosted CODA as a standalone structural framework course, while Lisbon, Seoul and London selected VERTICAL as a dedicated microsurgical soft tissue programme. Even in Vilnius, the two systems were delivered independently across separate visits.
It is uncommon for both disciplines to be combined into a single event.
For Sydney 2026, at A/Prof Christopher Ho’s request and in the spirit of collaboration, Dr Chu has agreed to integrate CODA and VERTICAL into one comprehensive three-day masterclass. This makes the Sydney edition particularly distinctive — offering a complete and integrated pathway from structural aesthetic design to soft tissue stability.
Dates: 28–30 July 2026
Location: Australasian College of Dental Practitioners
Level 1, 60 Archer Street, Chatswood NSW 2067

Outline:
Day 1 – CODA: Anatomical Smile Architecture
Morning:
- Introduction to CODA (Cosmeticus Odontologica Dissignatio Anatomica)
- Smile design within anatomical limitations
- Tooth morphology, proportion, and spatial control
- Gingival architecture and structural boundaries
Afternoon:
- Pink–white integration strategy
- Case analysis: design to execution
- From digital planning to biological feasibility
- Clinical decision-making framework
Day 2 – Vertical Soft Tissue Augmentation (VIBE / MPT)
Morning:
- Biological rationale for vertical tissue enhancement
- VIBE (Vertical Incision Bilaminar Elevation): principles and indications
- Case selection and limitations
Afternoon:
- MPT (Modified Platform Technique)
- Managing tissue thickness and contour stability
- TU → TN transition (Tissue Under-support to Normal support)
- Risk control and complication prevention
Day 3 – Integration: Design to Tissue Stability
Morning:
- Linking morphology and tissue volume
- Sequencing: design → augmentation → restoration
- Restorative–periodontal interface control
Afternoon:
- Advanced case presentations
- Long-term stability analysis
- Clinical problem-solving and discussion
- Q&A

Cancellation Policy:
A minimum of one month’s notice is required for cancellations. Transfer requests must be submitted in writing to education@theacdp.com


